Having recently called myself the “Bride of Frankenstein” due to a plethora of surgery, staples and stitches, it was only natural that I’d begin to think of other Halloween monsters and concepts from a medical point of view, particularly at this time of year. Many people have put forward views that implausible, mystical legends of vampires, werewolves and the like simply have their basis in medical conditions. Conversely, subjects that we would consider implausible or mystical – like ‘the reanimation of the dead’ or ‘ghosts’ – actually have modern medical analogues and have, in a way, become reality. Read on for Vampires, Zombies, Frankenstein’s Monster, Werewolves and Ghosts. (NB – some may find several of the below images disturbing.)
“Vampires” – Porphyria
The umbrella medical term Porphyria actually refers to a group of at least seven slightly different metabolic disorders which affect the production of haem in the blood. There are two main categories with varying symptoms: ACUTE porphyrias which cause nausea, vomiting and abdominal pain and CUTANEOUS porphyrias which mainly affect the skin (some of these effects overlap each other.) The severe photo-sensitivity displayed by sufferers actually causes their skin to blister and burn in minutes in natural light, so many prefer to be active during darkness. (This was part of the plot in a Season 2 episode of the X-Files about vampires). Some sufferers develop excess hair on their foreheads and the backs of their hands, and if you read early Gothic vampire novels (not the sparkly teen ones we have nowadays!) the undead creatures within the pages are described as being unusually hairy. Another startling effect is that the teeth can become red due to haem deposits in the enamel giving them a blood-stained appearance – as though blood has been ingested – and the urine and faeces have a dark reddish/purple tint, as though blood by-products are being expelled as waste.

In a 1985 talk at the American Association for the Advancement of Science, London-born Biochemist Dr David H. Dolphin suggested the legend of the vampire had stemmed from this rare illness, extending a previous theory in Nancy Garden’s 1973 book “Vampires”. Also, according to Dolphin, garlic coincidentally makes the symptoms of Porphyria worse as it interferes with the condition (although this has never been corroborated by research.) The haem disruption leaves sufferers anaemic and therefore in need of iron – in other words blood – which he theorised deficient individuals may actually kill for.

This idea was utilised in an episode of CSI called “Justice is Served” (S1 Ep21, above) in which an attractive female nutritionist murders men jogging through the park, removes their organs, and adds them to her morning smoothies to alleviate her porphyritic symptoms. It is, of course, nonsense and people suffering this debilitating condition are not vampires, but it’s an interesting premise.
For the most part porphyria is congenital and affects more women than men (commonly presenting between the ages of 20 and 40 years) however there is a type of porphyria that can be triggered by damage to the liver from drugs such as cocaine, barbiturates, arsenic and ketamine. There is no known cure and certainly holy water and a stake through the heart would be a ineffective…
“Zombies” – Leprosy
Leprosy is a chronic infection caused by Mycobacterium leprae (from the Latin ‘lepra’ which means ‘scaly’) and the newly discovered Mycobacterium lepromatosis (2008). Contrary to popular belief, Leprosy does not cause bits of the body to “fall off” although it does cause some deformity. It is, in fact, a granulomatous condition which affects the nerves, causing them to lose all feeling (or, according to The Leprosy Mission, causing a loss of the “Gift of Pain”). It is this sensory loss which means that people suffering with leprosy cannot feel if they are being injured by an outside stimulus or infected by an organism which is causing the tissue to become necrotic (dead). Leprosy is associated with poverty, and sufferers may lost their noses or fingers because as they sleep, rats may gnaw away their tissue (as they would with cadavers) and the victims cannot feel it.
Both mycobacteria are obligate pathogens, meaning they cannot be cultured outside the host cell – on agar plates, for example – and I’ll never forget one of the first things I learned during microbiology at university: Mycobacterium leprae must be grown on armadillos!
Nowadays the conditions is more commonly referred to as Hansen’s Disease after the Norwegian scientist who discovered the causative agent in 1873, Gerhard Hansen, and the term “leper” is never used because of its religious connotations. Those suffering with leprosy have previously been segregated (into same sex leper colonies) and marginalized, forced to wear bells around their necks to warn healthy people they were heading their way. Interestingly, according to the Catholic World Report, lepers were considered the “zombies” of the Middle East: the “walking dead” whose illness cut them off from the land of the living, and Steve Parker, in Kill or Cure, states that because Catholic doctrine decreed lepers “the living Dead”, they had no rights whatsoever.
This horrendous social stigma is still in existence today in areas where Hansen’s Disease is prevalent – India, Brazil and Nepal among others – despite antibiotics being available to treat it, and this combination of necrotic flesh and the inability to be considered ‘alive’ means that leprosy sufferers are still seen as monsters who live outwith society
“Frankenstein’s Monster” – Alloderm
The idea that several pieces of different cadavers can be stitched together and imbued with life to form a new being is, of course, fictional – but the bodies of the deceased do help to give life to those who are severely injured and dying. Organ transplantation, for example, has been general knowledge since the first ever procedure – a kidney transplant – was carried out in 1954 and, in the UK, one deceased organ donor can help up to nine individuals). Nowadays many organs can be transplanted – this timeline is a concise history of all the firsts – and the most recent transplant news we’ve received is the amazing story of a woman who gave birth to a healthy boy via a transplanted uterus.

As an APT (mortuary technician) my job also involved some organ harvesting – which is the medical term for the procedure – and assisting the teams from NHSBT. I have a certificate which illustrates my competency in eye removal from the deceased for corneal transplants and I also harvested human hearts to be used for their valves (not full heart transplants). However one of the most fascinating harvesting procedures I witnessed was that of skin and bone. Bone is removed from the cadaver and replaced with lengths of wood, not unlike broom handles, and eventually this bone can be used in a patient as an allograft. In the same way, skin removed from a cadaver (using a sort of roller device called a dermatome) becomes a product like “Alloderm” – a regenerative skin matrix which can be placed over large areas of flesh burnt with extreme heat or acid.
It is frequently used in gum grafts (below) and in breast reconstruction too but recently there has been a trend for its use in other types of aesthetic cosmetic surgery, like lip enhancement (below). Some may argue that’s not a suitable use for tissue selflessly donated by a deceased individual and they may be right if it’s for purely cosmetic reasons. However, those with facial asymmetries may regard the product as a godsend and my surgeon has certainly suggested we try the product in future, given my body’s tendency to cannibalise it’s own tissue (but that’s another horror movie altogether!)
“Werewolves” – Hypertrichosis
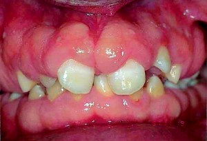
Hypertrichosis is sometimes informally called ‘Werewolf Syndrome’ as it can lead to an abnormal amount of hair growth over the body and face in its generalized form. It is mainly congenital (i.e. found at birth) but certain forms can be acquired later in life due to eating disorders and certain medication. The condition can also include gingival hyperplasia (below) which is an increase in gum tissue which makes the mouth look more pronounced and as though the teeth are sharp and jagged. It is very rare, however, and less than 100 cases have ever been recorded.
Cruelly, many people suffering Hypertrichosis throughout history have been ’employed’ at freak shows, labelled as half-wolf/half-human hybrids. One famous example is Julia Pastrana who was exhibited as a human-animal hybrid at such shows in the 19th century. As well as hypertrichosis, he also had a double row of teeth, both top and bottom, and was described as being a species in herself, possibly the result of “a human mating with an orang-utan or bear.”
Sadly after being ‘purchased’ by Theodore Lent who took her on a worldwide tour as her manager – but also married her and impregnated her – she died of post-natal complications after giving birth to a baby with her condition. Lent was unwilling to give up his worldwide tour however, and had both of the deceased mummified so he could display them in glass cases. I’ve chosen not to show images of Julia, deceased, as I believe it perpetuates the very culture of the spectacle that we are moving away from now that we understand these are people with medical conditions and not monsters.
“Ghosts” – The Ghost Heart

The ‘ghost heart’ is the subject of revolutionary transplant research in the field of regenerative medicine. Doris A. Taylor at the the Texas Heart Institute is leading a team attempting to solve the problem of organ rejection by using decellularized organs. Decellularization is a tissue engineering technique designed to remove all the cells from a donor organ (using “common detergent chemicals” no less) leaving nothing but the connective tissue that used to hold the cells in place. This scaffold of protein-based connective tissue – called a “ghost organ” for its pale and almost translucent appearance – can then be reseeded with a patient’s own cells, with the goal of regenerating an organ that can be transplanted into the patient without fear of tissue rejection and the use of harsh anti-rejection drugs.

This biological ‘scaffold’ is placed into a bio-reactor with artificially pumped blood, oxygen and stem cells and these cells attach to and develop on the framework, knowing exactly how and where to divide. Eventually the fully-formed heart will begin to beat again, autonomously with the new cells, in a feat that surely Victor Frankenstein would be thrilled to witness. Watch the process here
These scientists have successfully implanted tissue-engineered hearts into rats and pigs so far. They hope ultimately to create personalized human hearts and help relieve the shortage of donor organs.
And Finally…perhaps I, with my facial asymmetry (Parry-Romberg Syndrome), could be considered analogous to The Phantom of the Opera? Or perhaps, like others, I’m seeing a monster where there is none? This Halloween, when faced with masks hanging in the shops or children in costumes ‘Trick or Treating’, think about what the masks represent and spare a a thought for those who’ve suffered due to others’ inability to practice the adage “It’s what’s inside that counts.” Also, consider the wonderful people working to ensure we can treat some conditions in unusual ways, always searching for a cure.
And Happy Halloween…… 😉
PS – I discussed this very topic on The Alan Titchmarsh show and you can see it HERE on my YouTube channel





1 Comment